Як вибрати гель для ясен при запаленні? Розглядаємо ефективні засоби
причини запалення
- Механічні ушкодження (травма при медичних маніпуляціях, опік, ранка від твердої їжі або кісточки, жорстка зубна щітка).
- Інфекція в ротовій порожнині (бактеріальна, вірусна або грибкова).
- Прорізування зубів (у дітей).
- Освіта зубного каменю.
- Неякісна чистка зубів.
До загальних факторів, що провокує запалення ясен, можна віднести:
- авітаміноз;
- гормональні збої;
- цукровий діабет;
- туберкульоз;
- низький імунітет, ВІЛ;
- генетична схильність;
- хвороби травної або серцево-судинної системи, інфекції;
- куріння і вживання деяких лікарських препаратів.
Якісне лікування передбачає не тільки місцевий вплив на пошкоджену слизову, але і усунення причини захворювання.

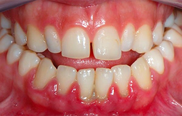
прояви гінгівіту
Запалення ясен характеризується такими симптомами, як:
- гіперемія;
- кровоточивість ясен;
- набряк слизової оболонки ротової порожнини;
- розростання тканин ясен;
- виникнення ранок на яснах;
- больові відчуття під час прийому їжі;
- свербіж ясен.
Додатково запалення ясен може проявлятися наступними симптомами:
- загальна слабкість і стомлюваність;
- сильне почуття болю при вживанні їжі;
- гіпертермія до 39 ° С;
- неприємний запах з рота;
- збільшення лімфовузлів;
- хворобливість в разі потрапляння в рот холодних або гарячих продуктів, повітря.
Як лікувати запалення ясен в домашніх умовах
Запалення ясен – симптом декількох захворювань, що відрізняються за своєю природою і вимагають різного лікування. Це може бути гострий або хронічний гінгівіт, стоматит, пародонтит або пародонтоз. Відсутність терапії або застосування невідповідних методів може привести до ускладнень, аж до втрати зубів. Тому так важливо своєчасно проводити лікування, і тільки під наглядом кваліфікованого лікаря. Сучасна медицина має у своєму розпорядженні простими і ефективними способами вирішення проблеми.
Іноді захворювання вимагає оперативного втручання, але зазвичай лікування запалення ясен проводиться в домашніх умовах. Схему терапії і необхідні препарати лікар визначає в індивідуальному порядку, виходячи з клінічної картини. Курс може включати:
- Полоскання (антисептичними розчинами або відварами трав). Процедуру необхідно проводити багаторазово протягом декількох днів. Це дозволяє очистити поверхню ясна, знизити мікробну активність і прискорити загоєння.
- Використання лікувальних гелів і мазей, аплікації.
- Антибіотики (за показаннями). Застосовувати такі препарати потрібно строго за призначенням лікаря.
- Спеціальні пародонтальні пов’язки (при необхідності).
- Вітамінні препарати. Допомагають зміцнити захисні сили організму, прискорити одужання і запобігти рецидивам.
Мета терапії – відновити слизову оболонку, виключити провокуючий фактор і зміцнити імунітет. Швидке лікування запалення ясен в домашніх умовах можливо при:
- правильної діагностики;
- комплексному підході;
- точному дотриманні лікарських рекомендацій.
При появі таких симптомів хвороби важливо не залишати їх без уваги, а якомога швидше звернутися до фахівця і приступити до лікування.
Неправильний підбір і використання протеза
Болі в яснах після установки штучних зубів з’являються у багатьох пацієнтів. Причина цього криється не тільки в тому, що така конструкція є чужорідним тілом для ротової порожнини, але і в неправильному його виготовленні. З цієї причини може утворюватися щілину між протезом і яснами або він недостатньо надійно фіксується, що неминуче викликає натертого підлеглих тканин.

Як правило, усунути цей дефект в незнімному виробі неможливо. Можна тільки його замінити. І все ж в сучасній стоматології помилки при виготовленні протеза трапляються досить рідко. Найчастіше запалення ясен виникає з наступних причин:
- Неправильне використання вироби. Пацієнт не вміє його правильно одягати і закріплювати. Через це навіть ідеально виготовлений протез здатний травмувати слизові оболонки.
- Початкові болю. Вони проявляються у переважної більшості людей, яким вперше встановили штучні зуби. Неприємні відчуття можуть зберігатися протягом декількох місяців. За цей час в місці контакту протеза і ясна формується протезне ложе або мозоль.
- Усадка кісткової тканини. Це відбувається при тривалому носінні протеза. Останній починається хитатися під час пережовування їжі, через що на яснах виникають потертості.
- Зміна навантаження. Дуже часто пацієнти під час звикання до виробу намагаються не жувати тим боком щелепи, де воно встановлено. Але як тільки неприємні відчуття проходять, вони навантажують його. Через це протез натирає ясна.
Нерідко виріб може бути просто некомфортним. Навіть якщо доктор все зробив правильно, пацієнт все одно відчуває біль. Якщо під зубним протезом запалилася ясна, то не слід звикати до дискомфорту. Потрібно звернутися до лікаря, щоб він зробив коригування або замінив виріб.
Підганяти конструкцію самостійно заборонено. Будь-яку корекцію можна робити тільки в лабораторії клініки. При самостійному зміні вироби воно може розколотися.
Зубні техніки змінюють готовий виріб декількома способами:
- Повна заміна базису. До такого рішення вдаються тоді, коли конструкція зламалася навпіл в результаті фізичного впливу.
- Корекція. Вона необхідна при втраті надійної фіксації або надмірному контакті з підлеглими тканинами. При такому втручанні сам базис не змінюється. Корекції піддаються тільки коронки.
- Починка. Йдеться про заміну штучних зубів, які з різних причин були втрачені. Іноді зубний технік змушений підточити деякі одиниці.
Термін виконання робіт залежить від їх складності. Наприклад, коригування протеза займає від 10 до 20 хвилин, а повноцінний ремонт з заміною базису може зажадати кілька діб.
Людський організм здатний неоднозначно відреагувати на будь-який матеріал, який входить до складу стоматологічних виробів. Найчастіше проявляється алергія на металеву основу при установці коронок і мостів. При використанні знімних протезів вона виникає через стоматологічного пластика.
Пропонуємо ознайомитися: Вітаміни для ясен при пародонтозі
Зі знімними виробами все набагато простіше. Лікарі замінюють стандартну пластмасу гіпоалергенним пластиком. Якщо це не допомагає, то пацієнту ставлять незнімний протез.
Дуже часто пацієнт скаржиться на те, що після протезування болить ясна. Що робити з цим, він не знає. При цьому доктор впевнений, що виріб виготовлений правильно. Причина може бути в порушенні пацієнтом правил догляду за зубами після протезування. Відмова від використання іригатора і многопучкових щіток.
Справитися з цим захворюванням нескладно. Потрібно всього лише видалити наліт і зубні камені, які є джерелом інфекційних агентів.
Медикаментозне лікування
Запалення ясен – поширена проблема, для боротьби з нею розроблено багато спеціальних препаратів. Більшість з них можна придбати в аптеках без рецепта. Класифікувати ці медикаменти можна за способом застосування.
Розчини для полоскання
В якості основного або допоміжного кошти використовуються при будь-якому типі запалення ясен. Полоскання антисептичними розчинами допомагає швидко позбутися від запалення і прискорити загоєння тканин. Найчастіше для цієї мети застосовуються такі препарати:

«Фурацилин». Можна придбати готовий розчин або приготувати його самостійно. Для цього 2 таблетки препарату розчиняють в склянці гарячої води. Полоскати рот таким розчином потрібно 2-3 рази в день, після їди. Препарат часто застосовується для лікування ясен – від запалення він дуже ефективний, завдяки вираженому антибактеріальній дії.
«Стоматофіт». Аптечний препарат на основі рослинних екстрактів. Надає на слизову оболонку рота загоює, антисептичну і протизапальну дію. Для застосування необхідно розбавити водою.
«Мірамістин». Впливає на всі типи інфекційних збудників – грибок, бактерії і віруси. Розчин не має смаку і запаху, тому комфортний у використанні. Полоскати рот «Мірамістином» рекомендують 3-4 рази на добу, після їди. Поліпшення стану відзначається вже після перших застосувань.
«Хлорофіліпт». Діючі речовини «Хлорофіліпту» – екстракти мірри і евкаліпта. У розведеному вигляді рідина використовують для полоскання. Препарат пригнічує інфекцію, стимулює місцевий імунітет.
«Ротокан». Для приготування розчину потрібно розвести засіб теплою водою відповідно до інструкції, полоскати рот 2-3 рази на добу. Дія – кровоспинний, антибактеріальний і загоює. Може викликати алергію, оскільки виготовлений на основі лікарських рослин.
Для полоскань можна застосовувати розчин перекису водню, перманганату калію ( «марганцівки»), «Хлоргексидину». Вибір препарату для проведення процедури краще довірити лікаря.
Антисептичні пастилки та спреї
Якщо немає можливості часто полоскати рот розчинами, можна застосовувати для зняття запалення антисептичні пастилки і льодяники. Вони продаються в аптеках як препарати для лікування горла – це «Стрепсілс», «Септолете», «Лізобакт», пастилки з шавлією і евкаліптом. Так само можна зрошувати порожнину рота спреями від хвороб горла – «Гексорал», «Тантум Верде», «Стрепсілс Плюс». Деякі з них додатково виконують функції хорошого знеболюючого. Мінуси такого методу:
- Пастилки і льодяники не промивати і не очищають слизову.
- Дія охоплює не тільки ротову порожнину, а й глотку, до того ж частково препарати потрапляють в шлунок.
- Багато засобів з цієї групи містять цукор (глюкозу), шкідливий для зубів.
Незважаючи на недоліки, засоби для лікування запаленого горла допомагають впоратися з неускладненими захворюваннями ясен. Не можна повністю замінити ними призначене лікування і полоскання ротової порожнини, але такі препарати зручно використовувати, перебуваючи на роботі або в дорозі.
Мазі і гелі
Такі препарати застосовуються при гінгівіті, стоматиті, пародонтиті та інших запальних процесах в ротовій порожнині. Від полоскань відрізняються тривалою дією. Наносити будь-який засіб краще після очищення порожнини рота.
- Запальні захворювання порожнини рота створюють дискомфорт, біль, печіння, від яких хочеться позбутися якнайшвидше. При цьому важливо спиратися на препарати, які не тільки усувають неприємну симптоматику, але і впливають на причину запалення: хвороботворні бактерії, віруси і гриби. Наприклад, добре себе зарекомендував стоматологічний гель потрійної дії Холісал®. При місцевому застосуванні діючі речовини препарату всмоктуються через слизову оболонку порожнини рота, допомагаючи знімати біль і запалення, а також впливаючи на віруси, гриби і хвороботворні бактерії. Гелева адгезивная основа допомагає утримувати на слизовій оболонці діючі речовини, продовжуючи їх действіе¹.1.) Інструкція по застосуванню лікарського препарату для медичного застосування Холісал®
Є протипоказання. Необхідно ознайомитися з інструкцією або проконсультуватися з фахівцем.

«Метрогіл Дента». Діючі речовини – Метронідазол і Хлоргексидин. Комбінований вплив антибіотика і антисептика допоможе швидко зняти запалення, зменшити біль, позбавитися від патогенних мікроорганізмів. Гель наносять на ясна двічі на добу, після нанесення півгодини не можна їсти і пити.
«Солкосерил». Цей лікувальний гель містить діалізат з крові телят. При місцевому застосуванні покращує обмінні процеси в клітинах слизових оболонок, прискорює їх загоєння, створює на поверхні захисний шар.
Запальні захворювання ясен відрізняються за своєю природою і ступеня занедбаності, тому для лікування застосовуються різні гелі та мазі. Потрібний препарат стоматолог визначає в індивідуальному порядку.
антибіотики
У деяких випадках для лікування запалитися ясен застосовуються антибіотики. Вони можуть бути необхідні, якщо:
- Запалення сильно запущено, на слизовій оболонці присутні виразки, є гнійні виділення.
- Місцеві лікувальні процедури не дали результату.
- Імунітет пацієнта знижений і не може протистояти інфекції.
Лікар може призначити антибіотики у вигляді ін’єкцій або таблеток для прийому всередину. Найбільш ефективними при захворюваннях ясен вважаються «Ципролет А», «Граміцидин С», «Екозітрін», «Вільпрафен». Але ефективність терапії залежить від конкретного типу збудника та його чутливості до різних видів антибіотиків. Тому перед вибором препарату доцільно буває зробити відповідний аналіз. Застосування антибіотиків та інших медикаментозних засобів необхідно узгоджувати з лікарем.
вітаміни
Незалежно від причин виникнення хвороби, комплексна терапія включає курс полівітамінів. Вони заповнюють брак мікроелементів, підвищують загальний тонус і захисний статус організму. Завдяки цьому загоєння відбувається швидше, і знижується ймовірність рецидиву. Добре зарекомендували себе:
- «Супрадин»;
- «Від А до Цинку» ();
- препарати з лінійки «Алфавіт»;
- вітаміни «Мультитабс».
В аптеках представлений широкий асортимент подібних препаратів, але при виборі краще звернути увагу на рекомендації лікаря.
Переваги гелів перед мазями
Багато гелі для ясен мають комплексним дією – антисептичну, протизапальну, знеболюючу. Завдяки цьому засобу широко використовуються в якості комплексної терапії численних стоматологічних патологій – стоматиту, гінгівіту, пародонтиту та т.д.
Фармакологічної промисловістю виробляються гелі з різними терапевтичними властивостями:
- охолоджуючим і болезаспокійливу;
- протизапальну;
- регенерує;
- зміцнює;
- антимікробну.
Слід зазначити деякі переваги стоматологічних гелів у порівнянні з ліками в інших фармакологічних формах:
- Швидкість всмоктування активних компонентів у гелю набагато вище, ніж у мазей і препаратів в таблетованій формі.
- Активні компоненти, що входять до складу гелів, практично не всмоктуються в кров і мають мінімальний список протипоказань до застосування.
- Зручність застосування.

Придбати стоматологічні гелі можливо в аптеках без рецепта лікаря. Однак це не означає, що препарат може застосовуватися безконтрольно
Народна медицина
Крім аптечних медикаментів, для лікування ясен в домашніх умовах широко застосовуються народні засоби. Залежно від тяжкості захворювання, вони можуть використовуватися самостійно або в складі комплексної терапії. Будь-які народні методи лікування необхідно узгодити з лікарем, щоб не допустити погіршення хвороби і втрати зубів.
Умовно засоби народної медицини можна розділити на зовнішні (полоскання, ванночки, примочки) і внутрішні.
зовнішні засоби
Найпростіші і доступні засоби, якими лікують ясна будинку – сольовий і содовий розчини. Для приготування необхідно розчинити чайну ложку соди або солі в склянці теплої води, процедуру полоскання проводити 3-4 рази в день після їди. Такі розчини надають антисептичну дію, знімають подразнення і прискорюють регенерацію слизової. Також добре зарекомендували себе такі засоби:
- Полоскання і «ванночки» з відварами лікарських трав – евкаліпта, шавлії або ромашки. «Ванночка» має на увазі, що склад потрібно тримати в роті деякий час.
- При кровоточивості ясен стає корисним полоскання з відваром шкірки граната або настоєм дубової кори.
- Полоскання теплою водою з додаванням ефірних масел. Підійде масло чайного дерева, евкаліпта, лаванди. На склянку води достатньо 4-5 крапель олії.
- До запалених ділянок слизової радять прикладати листя алое – попередньо видаливши товсту шкірку.
- За допомогою пальця або ватної палички на ясна рекомендують наносити масло обліпихи.
Застосовувати народні засоби слід з обережністю, оскільки рослини можуть викликати алергічну реакцію.
внутрішні засоби
При гінгівіті і інших видах запалень одужанню сприяють чаї з трав. Для їх приготування підійде ромашка, шавлія, м’ята і деревій. Вони мають антисептичну і загальнозміцнюючу дію.
Крім того, при запаленні ясен рекомендують щодня розжовувати і з’їдати 3-4 зубчики часнику.
Народні методи допомагають впоратися з гострим гингивитом, але неефективні при пародонтозі і пародонтиті, оскільки запущені захворювання вимагають більш серйозного лікування.
Хвороби опорних зубів
Протезування мостовидних конструкцій полягає в сошліфовиваніє опорних зубів, а через час вони можуть бути схильні до атак карієсу, оскільки знаходяться під протезом. Біль у людини виникає не відразу, оскільки зуб не має нервових закінчень – вони видаляються в ході протезування. Бактерії та інші організми в порожнині карієсу починають проникати до кореня зуба, за рахунок цього з’являється запальний процес в тканинах пародонта.
Читати також: Опухають ясна що робити
У хворого може з’явитися сильний біль з пульсуючим характером, яка стає сильнішою, якщо тиснути на ясна. У деяких випадках збільшується температура, з’являється флюс. Лікування можливо тільки після видалення протеза. Зуб, який піддався атакам бактерій, стоматолог видаляє, після чого проводиться лікування антибактеріальними препаратами та засобами від запалень.

Щоб під зубним протезом не почалися запальні процеси, потрібно дотримуватися правил догляду. Але якщо цього буде недостатньо, тоді буде потрібно лікування, яке полягає в наступному:
- При появі набряків і болів потрібно використовувати засоби для полоскання рота, які володіють антисептичним ефектом, а також знімають симптоми. Продаються вони в аптеках у вигляді настою або розчину на травах.
- Можна використовувати стоматологічні мазі або бальзами, якими будуть змазуватися запалені ясна.
- Якщо болі дуже сильні, без знеболюючих засобів не обійтися.
Найчастіше при правильному підборі протеза і матеріалу симптоми не з’являються, а навіть якщо вони і виникнуть, то описаних засобів буде достатньо. Але якщо ознаки залишаються і інтенсивність їх зростає, стоматологи можуть призначити додаткове лікування, в яке включають:
- Коригування протеза, після якої штучний зуб буде нормально прилягати до інших частин ротової порожнини.
- Може використовуватися чистка зубів від каменю або нальоту, в даному випадку мова йде про стоматологічних методах очищення.
- У рідкісних випадках можливе використання антибіотиків.
Інші методи боротьби з запаленими яснами
Якщо медикаменти і народні методи не дають результату, лікар може призначити фізіотерапевтичні процедури, лікування ультразвуком. У найважчих випадках може знадобитися хірургічне втручання.
До лікаря слід звертатися при перших же ознаках захворювання, оскільки краще лікувати запалення ясен на ранній стадії. Запущений гострий гінгівіт може перейти в хронічну форму або перерости в більш серйозну патологію – пародонтит або пародонтоз.
Рекомендації з гігієни
Найчастіша причина запалення ясен у дорослих – недостатня гігієна порожнини рота. Щоб запобігти захворюванню, потрібно приділяти їй максимум уваги. Набір рекомендацій простий і знайомий кожному:
- Заміна зубної щітки необхідна раз в 3 місяці.
- Якщо ясна схильні до запалень, потрібно вибирати щітки з м’якою або середньої жорсткості щетиною.
- Чистити зуби необхідно 2 рази на день, не менше 3-5 хвилин. Важливо при цьому не травмувати ясна.
- Вибір зубної пасти теж важливий – краще віддати перевагу перевіреним, «President», «Пародонтакс»). Бажано, щоб в складі лікувально-профілактичної пасти були екстракти лікарських рослин і протизапальні компоненти.
- Після їжі потрібно завжди використовувати зубну нитку. Вона видаляє застрягла між зубів їжу, щоб залишки їжі не стали місцем розмноження бактерій.
- Якщо часто запалюються ясна, рекомендовано щоденне застосування (після їжі) спеціальних ополіскувачів для порожнини рота ( «Лісовий бальзам», «Listerine»).
- Регулярне відвідування стоматолога (раз на півроку), своєчасне лікування карієсу.
- Правильне харчування (багате вітамінами, кальцієм, овочами і фруктами) і відмова від шкідливих звичок – важлива складова здоров’я ясен.
Практика показує, що іноді буває досить забезпечити повноцінний догляд за ротовою порожниною, і стан запалених ясен нормалізується без додаткових лікувальних процедур.
Гелі для дітей
У період прорізування молочних елементів багато дітей відчувають дискомфорт. Для полегшення симптомів болю в цьому періоді рекомендується використовувати знеболюючі гелі для зубів. Для масування запалених ділянок ясна підходять такі препарати:
- Бебі доктор. У складі є тільки натуральні компоненти: подорожник, ромашка, ехінацея, календула. Засіб має болезаспокійливу, протизапальну й антисептичну дію. Гель можна використовувати для загоєння ран в роті.
- Камістад. Вважається швидким анестетиком і підходить для лікування зубного болю у дорослих і дітей. Перед використанням засобу у малюків необхідно проконсультуватися з лікарем і уважно ознайомитися з інструкцією.
Терапія стоматологічних проблем у дітей включає не тільки застосування знеболюючих гелів. Лікування повинно проводитися комплексно: зі зміною раціону харчування. Відвідинами стоматолога і прийомом вітамінів.
До якого лікаря звернутися
При появі неприємних симптомів в першу чергу потрібно звернутися до стоматолога. Він зможе оцінити стан ясен, поставити діагноз і призначити лікування, а при необхідності перенаправити до іншого фахівця:
- Якщо причина дискомфорту – пародонтит або пародонтоз, то буде потрібна допомога пародонтолога.
- Якщо проблема в неправильному прикусі – потрібно буде звернутися до ортодонта для корекції.
- У випадках, коли запалення ясен обумовлено цукровим діабетом або гормональним дисбалансом, необхідна консультація ендокринолога.
Важкі інфекційні захворювання (туберкульоз, ВІЛ та інші) вимагають звернення до відповідних фахівців.
висновок
Важливо розуміти, що лікувати симптоми при запаленні ясен недостатньо – необхідно усунути причину патології. Для цього буде потрібно вилікувати супутні захворювання, скорегувати щоденні гігієнічні процедури. Тільки в цьому випадку можна розраховувати на довготривалий позитивний результат.
Профілактика подібних порушень

Основні методи профілактики:
- Кожен день чистити зуби після пробудження і перед сном, ретельно прибирати залишки їжі у їх підстави, використовувати зубні нитки, полоскати ротову порожнину після прийому їжі.
- Вживати продукти з високим вмістом кальцію, вводити в раціон більше клітковини, фруктів і овочів. Є менше солодощів і м’ясних продуктів, які погано позначаються на «самопочутті» ясен.
- Уникати стресових ситуацій, більше відпочивати, гуляти на свіжому повітрі, вести здоровий спосіб життя.
- Щодня масажувати ясна, полоскати відварами лікарських трав.
- Кинути палити і відмовитися від алкоголю – ці фактори негативно впливають на роботу всіх систем людського організму.
- Міняти зубні щітки в міру стирання щетинок, перевагу віддавати електричним. Вони краще справляються із зубним нальотом і одночасно виконують масаж ясен.
- Чистити не тільки зуби, але і мова, яка є місцем існування бактерій, що потрапили в ротову порожнину.
- При появі перших ознак запалення ясен негайно почати лікування, отримати консультацію стоматолога і використовувати тільки перевірені методи оздоровлення організму.
Зубна паста при запаленні ясен
При запалених яснах важливо правильно вибрати пасту, що сприяє усуненню неприємних симптомів. Найбільш популярними на сьогоднішній день є:
- Lacalut Aktiv (зменшує кровоточивість, видаляє зубний наліт, зменшує рихлість ясен);
- Parodontax Classic (для профілактики запалення і кровоточивості);
- Blend-a-med Комплекс 7 (сприяє зміцненню ясен, попереджає запалення і появі зубного каменю);
- Blend-a-med Про-Експерт (володіє захисною функцією, зменшує запальні процеси).
Правильне лікування хвороб ясен ефективно і в домашніх умовах. З його допомогою можна не тільки усунути запалення і кровоточивість, а й оздоровити всю ротову порожнину.

