Причини і лікування оголення шийки зуба. Як зупинити опущення ясен

Причини і лікування оголення шийки зуба. Як зупинити опущення ясен

0 Автор admin

Опущення ясен або рецесія – це не тільки явний зовнішній дефект, при наявності якого неможливо посміхнутися без сорому, а й патологія, що служить причиною випадання здорових зубів. Крім цього, така хвороба входить в число процесів, що мають прогресуючий характер, оскільки з часом може поширитися на всю щелепу.

Рецесія за своєю суттю означає опущення м’яких волокон, викликане руйнуванням кісткової тканини, внаслідок чого коріння зубів оголюються. Запобігти цьому цілком можливо. Однак для цього необхідно встановити причину опущення ясен. Лікування розглянемо нижче.

опущення ясен лікування

причини опущення

Відновлювати ясна без встановлення точної причини її опущення не варто, оскільки лікування в такому випадку може стати непотрібним, так як дефект в результаті повернеться. Однією з причин, які можуть вплинути на виникнення симптому, виділяються патології пародонту:

  • пародонтоз;
  • гінгівіт у важкій стадії;
  • пародонтит.

Крім захворювань м’яких тканин, ще одним фактором виступає погана гігієна ротової порожнини, внаслідок чого відбувається накопичення відкладень в зубодесневом кишені, виникає сприятлива атмосфера для проживання патогенних мікроорганізмів. В результаті відбувається розширення поглиблення, і токсини, які виділяються бактеріями, роз’їдають тканини навколо них, включаючи кісткову, і тоді виникає опущення ясен. Лікування повинно бути своєчасним.

неналежна гігієна

Причиною опущення ясен також може бути відсутність належної гігієни порожнини рота. У зубодесневой кишеню потрапляють залишки їжі, що створює сприятливу атмосферу для патогенної мікрофлори. Внаслідок цього поглиблення збільшується в розмірі, токсини, які виділяють бактерії, поступово роз’їдають навколишні м’які тканини, в тому числі пошкоджують і кісткову, що і викликає опущення ясен.
Можуть бути й інші фактори, що провокують розвиток цього захворювання. Наприклад, неправильні рухи щіткою при чищенні зубів, які пошкоджують ясна, а також використання старої щітки або зубної пасти з присутністю великої кількості абразивних частинок. За допомогою зубної нитки також можна спровокувати такий стан.

Як лікувати опущення ясен, цікаво багатьом.

Інші провокуючі фактори

Крім того, такі дефекти з’являються також через інших факторів:

  • Неправильне застосування зубної нитки.
  • Через неправильне чищення зубів, через що відбувається пошкодження м’яких тканин.
  • Використання тих гігієнічних засобів, які не підходять людині, наприклад, зубна паста, що містить багато абразивних частинок, або стара щітка.опущення ясен лікування в домашніх умовах
  • Аномальна структура порожнини рота.
  • Опущення альвеолярного відростка внаслідок випадання зубів. Так як на цю ділянку не надається навантаження, відбувається порушення обміну речовин і кровопостачання, що веде до опущення.
  • Аномалії зубів.
  • Неправильне змикання щелеп, наприклад, глибокий прикус, коли нижня зубна дуга накривається верхній, і ясна зачіпаються;
  • Конструкції, неправильно підігнані стоматологом.
  • Карієс в області кореня зуба або шийки.
  • Схильність, обумовлена ​​віком, наприклад, у тих, кому більше 60 років.
  • Через скрегіт зубів, поддающемуся контролю (бруксизм), переважно під час сну.
  • Внаслідок гормональних збоїв, що трапляються у жінок.
  • Дефіцит аскорбінової кислоти.
  • Різні шкідливі звички, наприклад, куріння, обгризання нігтів.

Після того як причина, через яку сталося опущення, буде усунена, можна починати наступний етап терапії, протягом якого необхідно піднімати м’які тканини, закриваючи таким чином коріння зубів. Лікування опущення ясен – процес непростий.

Чому відбувається опущення ясен

Опущення (рецесія) ясен може бути викликано різними зовнішніми або внутрішніми причинами. Серед них:

  1. Неправильна гігієна. Чищення зубів щіткою з жорсткою щетиною або надмірний тиск на тканини ясен під час процедури, неправильне використання зубної нитки призводять до пошкодження м’яких тканин, розвитку запальних процесів, подальшої атрофії тканин.
  2. Куріння. Речовини, що містяться в тютюновому димі, викликають звуження кровоносних судин. Як наслідок, порушується кровообіг і харчування тканин ясен, що призводить до розвитку патологічних процесів. Крім того, куріння призводить до формування щільних зубних відкладень, що також може стати причиною опущення.
  3. Вікові зміни. У людей старше 50-60 років відбуваються дегенеративно-дистрофічні зміни структур опорно-рухового апарату і кісткових тканин. У атрофічні процеси втягуються і тканини пародонту, результатом чого стає опущення ясен.
  4. Травми. Перфорація кореня зуба під час стоматологічних маніпуляцій, травмування м’яких тканин гострими краями пломби або сколотого зуба, пошкодження зуба і / або ясна при ударі, падінні можуть спровокувати опущення ясен.
  5. Індивідуальні структурні особливості. Іноді до оголення шийки кореня зуба призводять: вузька або високо посаджена вуздечка, масивний альвеолярний відросток, невелика глибина передодня ротовій порожнині, истонченная кортикальная кістка.
  6. Вроджені та набуті аномалії прикусу, відсутність зубів. В цьому випадку відбувається нерівномірний розподіл механічного навантаження на зуби при жуванні. При цьому в місцях підвищених навантажень зубна емаль швидко стирається, а з протилежного боку зменшується висота ясен. Це пов’язано з тим, що при відсутності жувальних навантажень погіршується кровообіг і харчування м’яких тканин. Ризик розвитку патології вище за все при глибокому і відкритому прикусі.
  7. Неправильне протезування. Якщо опустилася ясна під коронкою, а довколишні тканини здорові, атрофія може бути викликана алергією на матеріал коронки. Ще одна причина – неправильне виготовлення або установка коронки, через що тканини ясен постійно травмуються, запалюються. Згодом висота ясна зменшується.
  8. Стоматологічні і системні заболеванія.Хроніческій стоматит, гінгівіт, пришийковий карієс, пародонтит і пародонтоз, порушення мінерального обміну речовин, збої в роботі імунної системи стають причиною зниження щільності пародонту. Виникає набряклість і кровоточивість ясен, з’являються шишки. Якщо своєчасно не вжити заходів, відбувається опущення ясен.

Від правильності визначення провокуючого фактора залежить як подальша тактика лікування, так і ефективність проведеної терапії. Тільки в разі чіткого розуміння першопричини вдасться зупинити і запобігти відбуваються незворотні зміни в м’яких тканинах.

аномальне будова

Крім того, бувають випадки аномального будови порожнини рота або зубів, а також неправильний прикус. Пришийковий або прикореневій карієс, наявність шкідливих звичок (куріння, звичка гризти нігті). Також в якості провокаційного чинника можуть виступати гормональні збої у жінок, вікові зміни у людей похилого віку, брак вітаміну С і погано підігнані стоматологічні конструкції.

Причини і лікування опущення ясен часто взаємопов’язані.

В основному, захворювання зачіпає передні різці та ікла, проте в деяких випадках страждають і премоляри. Глибина опущення ясен може становити до семи міліметрів. Після усунення причини, яка викликала опущення ясен, переходять до наступного етапу терапії, результатом якого повинно бути підняття м’яких тканин, щоб прикрити коріння зубів.

Хірургічне лікування рецесії ясен – етапи операції та можливі ускладнення

При швидко прогресуючому процесі і відсутності відгуку на терапевтичне лікування хворому призначається хірургічне лікування. Звичайно ж, операція дозволяє швидко і ефективно усунути дефект і тому є досить поширеним способом лікування опущення ясен, особливо в молодому віці пацієнтів.

Як правило, операція виконується під місцевим знеболенням. Але в складних і запущених випадках можуть оперувати і під загальним наркозом.

Етапи операції по закриттю рецесії ясен:

  1. На зміненої яснах виконуються два паралельних розрізу, утворюючи шматок тканини.
  2. На коріння зубів наносяться антибактеріальні препарати.
  3. Утворений клапоть м’якої тканини пришивають таким чином, щоб закрити дефект ясна в місці, де вона оголила корінь зуба (або декількох зубів).
  4. Якщо опущення ясен виражено дуже сильно, і висоти клаптя тканини недостатньо для її підняття до необхідного рівня, то виконується пересадка клаптя, взятого з неба пацієнта. Таким чином здійснюється пластика ясен.

Перевага хірургічного лікування рецесії ясен величезна – воно дозволяє радикально скорегувати навіть дуже великі дефекти .

Проте, недоліки пластики також є:

  1. Якщо беруть клапоть з неба, то на загоєння рани потрібно більше часу. Поки загоєння не відбудеться, пацієнт буде відчувати певні неприємні і болючі відчуття в роті, проблеми з прийняттям їжі.
  2. Колір тканин неба відмінний від кольору ясна. Це – значимий мінус, коли мова йде, наприклад, про молоду людину або дівчині, і уражена зона потрапляє в так звану «зону посмішки».
  3. Не так часто, але бувають ускладнення, коли пересаджений клапоть тканини не приживається на новому місці.

симптоми опущення

На початку захворювання дуже важко помітити опущення, якщо тільки зуб або ясна не почали хворіти. Саме тому більшість пацієнтів виявляє розвиток патології вже тоді, коли оголюються корені зубів.

Опущення ясен, фото якого представлено нижче, розпізнається за такими ознаками:

опущення ясен лікування медикаменти

  • повне або часткове оголення зубного кореня;
  • поступове зниження рівня ясен;
  • підвищення зубної чутливості до холодної і гарячої їжі (ця ознака з’являється через деякий час);
  • розвиток карієсу на зубному корені, який може бути випадково помічений в процесі профілактичного відвідування фахівця.

Можливі ускладнення хвороби

Багато хто вважає, якщо ясна трохи опустилася або трохи відходить – це не небезпечно. Незважаючи на те, що саме опущення ясен не загрожує життю пацієнта і не провокує розвитку системних захворювань, усунення патології необхідно. Коли ясна значно опустилася, якщо її не відновити, це може привести до наступних ускладнень:

  • оголюються корені зубів і стають уразливими;
  • розвиток запалень слизових оболонок порожнини рота і ясен;
  • опущення ясен провокує карієс відкритих ділянок зуба (рекомендуємо прочитати:);
  • розвиток рецесії ясен генералізованого типу, тоді з’являється рухливість щелепного ряду з подальшим випаданням зубів.

Коли пацієнт відмовляється від операції і від застосування призначених медикаментів, він змушений витрачати багато часу і сил на підтримку здоров’я ротової порожнини.

Потрібно періодично проводити чистку коренів зуба, часто пломбувати зуби, лікувати запалення, що розвиваються в яснах, імплантувати протези замість випали зубів (рекомендуємо прочитати:). При оголенні коренів зубів для їх закриття потрібно професійне лікування, і забувати про це не можна.

Класифікація

Рецесія підрозділяється на такі види, як:

  • Фізіологічна. Є найбільш поширеною і виявляється у людей похилого віку (від 60 років), тобто обумовлена ​​хвороба процесами старіння. Запалення при цьому не отримує розвитку, зуби відрізняються стійкістю, і коріння добре проглядаються.
  • Травматична. До неї призводять травми м’яких тканин механічного типу, наприклад, через щітки високою жорсткості або твердих шматків їжі. При цьому запалення не відбувається, кровоточивість ясен не спостерігається, оголення коренів носить незначний характер. Такий різновид може зустрітися у пацієнтів будь-якого віку.

опущення ясен фото

  • Симптоматична. Причиною її виступає погана гігієна, а також гінгівіт хронічного типу і періодонтит. Найчастіше опущення зачіпає передні зуби нижнього ряду. При цьому вони розхитані, а ясна можуть кровоточити і опухати.

Залежно від ступеня тяжкості опущення ділиться на легку (не більше трьох міліметрів), середню (не більше п’яти) і важку (на п’ять і більше). Розглянемо, як здійснюється лікування опущення ясен.

симптоми захворювання

При початковій стадії опущення ясен визначити його практично неможливо. Тим більше якщо немає хворобливих відчуттів і ясна не кровоточать. В цьому випадку опущення на два-три міліметри непомітно. Але необхідно звернутися до стоматолога, якщо ви помітили наступні ознаки:

  • Зниження рівня ясен на три-п’ять міліметрів і більше.
  • При повному або частковому оголення кореня зуба.
  • Зуби стали реагувати на гаряче або холодне.
  • Каріозні освіти на коренях зубів.

Все це говорить про опускання ясен. Що робити?

опущення ясен причини

Як лікувати рецесію ясен під час вагітності?

У стоматології розвиток опущення ясен під час вагітності лікується шляхом застосування консервативних методів, причому доктор підбирає комплекс препаратів, який буде безпечним для здоров’я мами і майбутнього малюка. Лікування будь-яких стоматологічних захворювань в період виношування дитини рекомендується проводити під час II триместру. Іноді вагітним ставлять колагенові мембрани для закриття рецесії і відновлення м’яких тканин.

Коли показано проведення хірургічної операції, то краще відкласти її на післяпологовий період. До народження дитини при рецесії ясен рекомендується симптоматичне лікування, купірування больових відчуттів ліками або народними засобами, призначеними лікарем.

хірургічне лікування

Повністю відновити атрофовану тканина ясен можна лише хірургічним шляхом. При легкого та середнього ступеня рецесії операція виконується клаптевим методом. Голу ділянку кореня зуба закривається клаптем тканини, взятих зі здоровою ясна. Основними перевагами даного методу є висока ефективність і короткий період відновлення. Однак, проведення операції протипоказано при:

  • великій кількості зубних відкладень;
  • наявності періодентальних кишень;
  • розробці (розсмоктування) кісткової тканини;
  • важкому запаленні ясен або кореня зуба.

У разі важкої рецесії і / або при малій товщині слизової оболонки відновлення атрофованих тканин проводиться мембранним методом. В його основі лежить направлена ​​регенерація втрачених тканин. З цією метою на область дефекту встановлюється коллагеновая мембрана, яка одночасно стимулює регенерацію тканин (за рахунок колагену) і запобігає вростання сполучних тканин. Згодом мембрана розсмоктується самостійно або її видаляють. Цей метод вважається менш дієвим, ніж відновлення ясна клаптевим способом.

діагностика

Рецесію можна виявити самостійно. Для цього буде потрібно дзеркало, перед яким потрібно буде посміхнутися і подивитися на ясна.

При рецесії:

  • деякі зуби будуть здаватися більш довгими: вони просто оголені;
  • слизова над зубом не відповідатиме нормальному положенню: ряд буде нерівномірним;
  • форма дефекту може бути клиноподібної або каплевидної;
  • можливе виникнення карієсу і потемніння на краю зуба.

Оголені ділянки зубів чутливі до температурних перепадів, тому при вживанні занадто холодних або гарячих страв з’являються різкі короткочасні больові відчуття. Подібна дія на зуби багатодітній родині і кислі продукти.

Чим раніше буде діагностовано рецесія, тим ефективнішими виявляться методи лікування.

Крім перерахованих вище візуальних змін, можуть з’явитися такі ознаки:

  • почервоніння;
  • запалення ясен;
  • збільшення проміжків між зубами.

Їх виникнення залежить від причини рецесії.

Кращий спосіб виявити рецесію – пройти відповідну діагностику в лікарні.

Вона полягає в наступному:

  1. Спеціаліст збирає анамнез і проводить огляд порожнини рота, звертаючи увагу на стан зубів.
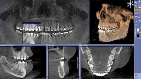
  2. Обов’язково повинен бути зроблений панорамний знімок обох щелеп. В ідеалі такий рентген краще замінити на комп’ютерну томографію, яка дозволить визначити, наскільки зруйновані м’які тканини, що розташовуються біля зубів. Ця процедура дозволяє отримати тривимірні дані.Десна опускаються.  Що робити, якщо оголюються зуби, з'явилися жовті плями, що це таке, як їх відновити, лікування, причини
  3. Вимірюється шар нальоту під яснами і складається пародонтограмма.
  4. У разі необхідності пацієнт здає аналіз на мікрофлору. Це допоможе визначити збудника запалення.
  5. Можливо, буде потрібно здача крові на аналіз.

У чому суть проблеми

У стоматології відходження ясна називається рецесією. Для такого патологічного стану характерно стирання і відшарування ясенного краю, а також оголення частини зуба.

Зуб при такому стані оточений власним коренем і з щільним нальотом, що загрожує запаленням і патологічної рухливістю.

При активному розвитку зубодесневой патології порушується з’єднання з яснами і виникає її опущення. Крім знищення навколозубних тканин частина хвороботворних мікроорганізмів виділяє патогенні речовини, які надають руйнівну дію на емаль.

Все це призводить до демінералізації зубів і утворення каріозних мікровогнищ, що ще більше підвищує активність збудників в ротовій порожнині. Поступово в процес втягується слизова ясен, і людина при непроведення терапії може втратити відразу кількох зубів.

Що робити в період відновлення?

Після операції пацієнту потрібно виконувати ті вказівки, які дасть лікар. Найчастіше відновлення займає не більше двох тижнів. Протягом цього періоду необхідно:

  • застосовувати ополіскувачі для рота, що борються з бактеріями і сприяють швидкому загоєнню м’яких тканин;
  • зубну пасту від опущення ясен, яка надає протизапальний дію;
  • під час чищення зубів використовувати тільки м’яку щітку і обходити ділянку, який був прооперований;
  • не наражатися на високих фізичних навантажень;
  • не пити алкоголь і не палити;
  • не вживати в їжу гаряче і холодне;
  • якщо біль сильна, то можна прикладати холодний компрес на щоку або губу, але не на ясна;
  • є м’яку їжу, щоб уникнути травмування ясен.

Перший час після операції на м’яких тканинах буде набряк, пацієнт може відчувати біль. Це є нормою і скоро пройде. Якщо ж протягом тривалого часу симптоми не зникають, потрібно звернутися до фахівця, а він, у свою чергу, призначить додаткову терапію. Чи можливо лікування опущення ясен в домашніх умовах? Про це далі.

зубна паста від опущення ясен

Зміцнення зубів і ясен народними засобами в домашніх умовах

Ясна і зуби можна зміцнити в домашніх умовах, але тільки після постановки правильного діагнозу. Тому вибирати відповідні методики лікування потрібно тільки після консультації у стоматолога. Найбільш популярні такі народні рецепти:

  • Полоскання рота розчиненої у воді морською сіллю – одна столова ложка на склянку води. Процедура проводиться протягом декількох хвилин, розчин надає антисептичний ефект і добре очищає порожнину рота від нальоту.
  • Примочки. Корисно робити аплікації на запалені ділянки ясен з свіжозрізаних шматочків алое або тертої картоплі.
  • Полоскання рота аптечними зборами і препаратами. Можна полоскати ротову порожнину водним розчином готової аптечної настоянки прополісу. Це засіб має загальнозміцнюючу лікувальну дію, так як містить цілий комплекс біологічно активних речовин.
  • Протирання запалених ясен сумішшю з лимонного соку, перекису водню і солі.

Якщо у хворого немає кровотечі і вираженого запалення в ротовій порожнині, можна посилити кровопостачання і поліпшити харчування ясен за допомогою масажу чистими подушечками пальців.

Трави для зміцнення ясен і зубів

Дуже ефективний метод зміцнення ясен і зубів – полоскання рота відварами трав: шавлії, м’яти, ромашки, дубової кори. Лікарські рослини діють комплексно: насичують тканини необхідними поживними речовинами, знімають запалення і очищають ротову порожнину від нальоту. Такими ж властивостями володіють ефірні масла чайного дерева, м’яти, евкаліпта, які потрібно розчиняти в кип’яченій воді.

Щоб ефективно зміцнити ясна в домашніх умовах, подібні народні засоби потрібно застосовувати регулярно – одноразові процедури не приносять відчутного ефекту.

Продукти для зміцнення ясен

Найприродніший спосіб зміцнення зубочелюстного апарату – це його достатнє забезпечення всіма необхідними поживними речовинами. Для зміцнення м’яких і твердих тканин щелепи найбільш важливі такі продукти:

  • Продукти зі свіжого і кислого молока насичують емаль кальцієм, а м’які тканини – вітамінами.
  • Морепродукти, риба заповнюють запаси фосфору, рибна печінку багата вітамінами A і D.
  • Свіжі овочі, фрукти не тільки містять багато корисних для загального здоров’я мікроелементів, а й зміцнюють зубощелепної апарат: пережовування яблук, груш сприяє посиленню тканин, що утримують зубний корінь в альвеолі.
  • Цитрусові запобігають розвитку цинги – дефіциту вітаміну C, при якому опухає слизова оболонка ясен, і слабшає зубної пародонт.
  • Цибулю і часник корисні при запальних процесах, так як міститься в них цинк швидко усуває запалення.
  • Зелень багата речовинами, які запобігають кровоточивість ясен.
  • Яйця багаті вітаміном A, вітамінами групи B. Якщо додавати в їжу перетерту в порошок яєчну шкаралупу, можна поповнити запаси кальцію в організмі.
  • Питна вода – джерело фтору. Потрібно вживати воду тільки з перевірених джерел, де вміст цього елементу відповідає нормі, так як його надлишок небезпечний для здоров’я і призводить до розвитку флюорозу.

Ліки для зміцнення ясен

Такі серйозні патології, як пародонтоз, гінгівіт і пародонтит, вимагають консервативного стоматологічного лікування. Після лікування захворювань в стоматології лікарі призначають пацієнтам препарати для зміцнення ясен і зубів, які потрібно застосовувати вдома. Основні групи таких лікарських засобів:

  • Гелі та мазі для зняття запалення, зміцнення ясен і регенерації м’яких тканин: Асепта, Дентал, Солкосерил, Метрогил. Частоту нанесення і тривалість курсу визначає лікар, зловживати такими засобами не можна.
  • Знезаражувальні розчини для полоскання: Фурацилин, Хлоргексидин, перекис водню, розчин марганцівки, Мірамістин, Хлорофіліпт. Такі засоби застосовуються при кровоточивості для запобігання інфікування ясенних тканин і для лікування запальних стоматологічних хвороб.
  • Антибіотики призначаються при запаленні ясен, вони сприяють загибелі бактерій і перешкоджають їх шкідливому впливу на живі тканини.

Чому опускання ясен небезпечно: наслідки, ускладнення

Оголення шийки зуба доставляє людині багато незручностей. До них відносяться і психологічні і фізіологічні чинники. Перші можуть виражатися в невпевненості в собі, пов’язаної зі зміною зовнішнього вигляду посмішки, агресії в результаті безперервного больового синдрому або навіть апатії.

Опущення ясен завжди пов’язане з підвищеною чутливістю зубів, чиє коріння оголені і не мають емалі. Через відсутність захисного шару, в цій області розвиваються бактерії і утворюється карієс. Уражені тканини связачного апарату і кістки атрофуються, зуби стають рухливими і підлягають видаленню.

Встановити точні причини опущення ясен і підібрати лікування може тільки стоматолог.

Не варто вирішувати цю проблему самостійно, використовуючи лише народну медицину або медикаменти.

можливі захворювання

Десна опускаються (робити що-небудь для нормалізації ясна необхідно після виявлення причин) у зв’язку з проявом симптомів тієї чи іншої хвороби. Медики називають таку патологію симптоматичної.

Вона може бути ознакою таких захворювань, як:

  • пародонтит;
  • пародонтоз;
  • гінгівіт.

Також опущення ясен може бути наслідком більш серйозних патологій, які негативно позначаються на всіх органах. Наприклад, рецесія може з’явитися при порушеному метаболізмі або при проблемах з кровоносною системою.

пародонтит

Пародонтит називається руйнування опорного апарату зуба. Десна повільно відсторонюється від зуба, в результаті чого утворюється кишеню, де збираються залишки їжі, які не можна усунути самостійно.

Десна опускаються.  Що робити, якщо оголюються зуби, з'явилися жовті плями, що це таке, як їх відновити, лікування, причини

Також з’являється:

  • кровоточивість;
  • набряки;
  • висока чутливість при пережовуванні.

У кишенях може з’явитися гній, який буде видно при натисканні на край ясен. Якщо вчасно не вжити заходів, зуб розхитається, зміститься і випаде.

При загостренні хвороба може викликати:

  • нездужання;
  • нудоту;
  • високу температуру.

Якщо не брати до уваги карієс, то пародонтит є найпоширенішою проблемою порожнини рота. За твердженням фахівців, ознаки запалення ясен в тій чи іншій мірі є у 80% дітей і майже у кожного дорослого.

пародонтоз

На цю недугу страждають 80% пацієнтів з тих, що звертаються до стоматолога. Пародонтоз багато в чому схожий на пародонтит. Відрізнити одну хворобу від іншої часом не може навіть лікар, а пацієнти часто плутають ці захворювання.

Основна відмінність пародонтозу від пародонтиту полягає в тому, що в основі першого лежить не запальний процес, а порушення кровопостачання ясен.

Десна опускаються.  Що робити, якщо оголюються зуби, з'явилися жовті плями, що це таке, як їх відновити, лікування, причини

В результаті може:

  • з’явитися їх дистрофія;
  • оголитися шийки зубів;
  • одна ясна підніматися над іншою.

Однак кровотечі, почервоніння і пухлини немає. Десна просто поступово руйнується. Пародонтоз майже ніколи не буває локальним. Як правило, хвороба поширюється на обидві щелепи. Вирішити проблему нелегко, буде потрібна комплексна терапія.

гінгівіт

Гінгівіт пов’язаний із запаленням.

Назва цієї хвороби має латинське походження і складається з 2-х частин:

  • слово «gingiva» – перекладається на українську як «ясна»;
  • кінцівка «it» – позначає запалення.

При гінгівіті ясна запалюється в повному обсязі, а біля одного зуба. Форма гінгівіту може бути гострою або хронічною. Виділяється кілька видів цієї хвороби: катаральний, атрофічний. Боротися з цією проблемою простіше, ніж з пародонтитом, адже запалення не поширюється на зуби і не сприяє їх руйнуванню.

Десна опускаються.  Що робити, якщо оголюються зуби, з'явилися жовті плями, що це таке, як їх відновити, лікування, причини

Якщо хвороба буде виявлена ​​вчасно, її можна вилікувати. Головне, швидко вжити відповідних заходів, інакше гінгівіт може перерости в пародонтит.

Інші методи лікування

При виявленні опущення необхідно відразу ж піти до лікаря, який порадить, яким чином найкраще лікувати патологію. Все залежить від результатів огляду. Можуть застосовуватися такі методи.

  • Латеральний клапоть. За допомогою цього методу можна підняти ясна. Однак використовується він досить рідко, так як потрібно зміщувати на пошкоджені місця здорові тканини. Якщо дефект зачіпає практично всю щелепу, такий спосіб застосувати дуже важко. Але все ж лікування подібного типу має і значущі плюси. Так, не потрібно чекати його результат протягом довгого часу – він проявиться відразу ж. Якщо ж дотримуватися всі профілактичні норми, то шанси повернення проблеми зводяться до мінімуму. Яке ще засіб від опущення ясен існує?
  • Коллагеновая мембрана. Вона поміщається на кортикальну пластину альвеолярного відростка з метою відновлення тканин. Як тільки її функції будуть виконані, вона повинна бути вилучена. Також є і розсмоктуються матеріали, що розчиняються самі протягом певного часу, але коштують вони набагато дорожче. Завдяки мембрані близько 80% тканин регенерується. Чи є медикаменти для лікування опущення ясен?
  • Терапія за допомогою медикаментів. Подібний метод підійде тим пацієнтам, які дуже бояться операційного втручання. Лікування в цьому випадку направлено на активацію відновного процесу за допомогою ін’єкцій ферментів, що впливають на зростання амелогеніна, тобто білка емалі зубів. Завдяки цьому починається відновлення зубних коренів і сполучної тканини. Одночасно здійснюється обробка м’яких тканин емалевим матриксом, що уповільнює розвиток патології. Однак доведеться довго чекати результат. Хоча він вартий того, і тканини після відновлення будуть виглядати акуратно.

Якщо ясна опустилася, фахівці вважають, що саме такі способи дозволять вирішити проблему. Крім того, посилити ефект терапії можна шляхом з’єднання лікування традиційного і народного.

Отже, якщо зазначено опущення ясен. Як підняти? Гель з протизапальним ефектом може допомогти ( «Асепта», «Метрогіл»). Необхідно регулярно проводити масаж ясен пальцями із застосуванням зазначених коштів.

На відчуття ясен впливає будова альвеол

Практично всі пацієнти, які скаржаться на те, що у них ясна опустилася, мають особливості в анатомічній будові альвеоли. Альвеола – це ряд горбків, що знаходяться в ротовій порожнині між передніми верхніми зубами і передньою частиною неба. Занадто тонка альвеола відчуває сильний тиск під час їжі або чищення зубів, внаслідок чого вона стоншується ще більше, що і призводить до того, що ясна опускаються і відходять від зубів. Ускладнюють процес опущення ясен неправильні або необережні, різкі рухи при чищенні зубів, так як вони легко травмують край ясен. Також фактором, що впливає на опущення ясен, є скупченість зубів, тобто щільний зубний ряд. В цьому випадку зуби в альвеолярної дузі розташовуються занадто тісно, ​​тим самим збільшують силу тиску на альвеолу. Дешеві повії від 1000 гривень годину

Коллагеновая мембрана

Паралельно з хірургічним втручанням лікарі призначають і курс медикаментозних препаратів. До плюсів цього способу можна віднести те, що ефект від лікування бачимо відразу і повернення хвороби (при дотриманні профілактики, зрозуміло) малоймовірно.

Як підняти опущення ясен народними засобами, розглянемо нижче.

На сьогоднішній день існують і мембрани, зроблені з матеріалу, що розсмоктується, але вони істотно дорожче за ціною. Як результат роботи мембрани відновленими будуть до 80% тканин ясен, решта залишається недолікований.

Найчастіший варіант – це, звичайно, медикаментозна терапія. Цей вид лікування дозволяє активувати процес регенерації за допомогою ін’єкцій ферментів, що провокують зростання амелогеніна (білка зубної емалі).

Поступово почнеться відновлення сполучної тканини і коренів зубів. Одночасно з цим ясна обробляють емалевим матриксом, призначеним для того, щоб уповільнити зростання захворювання. Результату очікувати доведеться досить довго, але в підсумку відновлені ясна будуть виглядати як колишні.

У нинішній час більшість виробників випускають серії зубних паст і щіток спеціально для профілактики рецесії ясен і інших проблем подібного роду. Щітки при цьому зроблені округлої форми, що забезпечує проникнення близько до зубним коріння, а зубні пасти нового покоління містять екстракт лікарських трав, які допомагають відновленню пошкоджених ясен.

Що робити якщо почали опускатися ясна

  • Причина рецесії
  • Курс лікування
  • народні методи

опущення ясен лікування

Рецесія (опущення) ясен є не тільки видимим дефектом, через якого соромно посміхатися, а й небезпечною патологією, так як можна втратити здорові зуби. Крім того, така хвороба відноситься до прогресуючим процесам, тому що згодом вона може торкнутися всю щелепу.

Суть цієї проблеми в тому, що м’які волокна опускаються нижче через руйнування кісткової тканини і тому оголюються корені зубів. Не допустити це можливо, але тільки дізнавшись причину захворювання.

Причина рецесії

Якщо намагатися відновити ясна, перш ніж була знайдена причина чому вона опустилася, то лікування буде марним, так як дефект з часом повернеться.

Серед факторів, що впливають на виникнення такого симптому, фахівці відзначають хвороби пародонту, такі як:

  • Важка стадія гінгівіту;
  • пародонтит;
  • Пародонтоз.

Нарівні з хворобами м’яких тканин йде неякісна гігієна ротової порожнини, через що в зубодесневом кишені накопичуються відкладення і створюється сприятлива атмосфера для патогенних мікроорганізмів. Як наслідок цього, поглиблення збільшується в розмірах, а що виділяються бактеріями токсини роз’їдають навколишні тканини, в тому числі і кісткову, що і призводить до рецесії.

Є й інші чинники, через які з’являється цей дефект, такі як:

  • Через неправильне чищення зубів, в процесі якої пошкоджуються м’які тканини або невідповідні засоби гігієни, наприклад, стара щітка чи зубна паста з великою кількістю абразивних часток;
  • Неправильне використання зубної нитки (флосса);
  • Аномальне будова ротової порожнини;
  • Рецесія альвеолярного відростка через що випали зубів. Навантаження на цю ділянку більш не надходить і порушується кровопостачання і обмін речовин, що і призводить до опущення;
  • Зубні аномалії;
  • Неправильне змикання щелеп. Як приклад можна привести глибокий прикус, при якому верхня зубна дуга накриває нижню і зачіпає ясна;
  • Каріозні освіти в області шийки або кореня зуба;
  • Неправильно підігнані стоматологічні конструкції;
  • Вікова схильність у людей старше 60 років;
  • Через гормональні збої у жінок;
  • При неконтрольованому скреготінні зубами (бруксизмі), особливо під час сну;
  • Шкідливі звички (гризти нігті, курити);
  • Брак аскорбінової кислоти.

В основному проблема локалізується на передніх різці і іклах, але іноді зачіпає премоляра і глибина рецесії може бути аж до 7 мм.

Як тільки усунення причини, що викликала опущення ясен закінчиться, можна переходити до наступного етапу лікування, в процесі якого потрібно буде підняти м’які тканини, щоб закрити коріння зубів.

Курс лікування

Якщо стало помітно, як опускається ясна, то потрібно звернутися до лікаря, а він уже розповість, що робити і порадить курс лікування, орієнтуючись на результати огляду.

В курс лікування входять такі методи, як:

  • Латеральний клапоть. Якщо опустилися ясна, то можна підняти їх за допомогою цього методу, але він дуже обмежений, тому як доведеться зміщувати здорові тканини на пошкоджені ділянки і коли дефект стосується фактично цілої щелепи, то такий спосіб трудновиполнім. Незважаючи на це у такого лікування є свої вагомі плюси, наприклад, ефект від нього не доведеться чекати місяцями і відразу після процедури буде помітний результат і якщо дотримуватися правил профілактики, то шанси, що проблема знову повернеться, будуть мінімальні;
  • Коллагеновая мембрана. Її встановлюють на кортикальну пластину альвеолярного відростка для регенерації тканин. Після того як мембрана закінчить свою роботу, то її необхідно видалити. Слід зазначити, що існують розсмоктується кошти, які самі розчиняться через час, але вони значно дорожче. В результаті роботи мембрани відновлюється близько 80% тканин, але залишилися залишаються недоліковані;
  • Медикаментозне лікування. Підходить людям, які панічно бояться операції. Такий вид терапії орієнтований на активацію процесу регенерації за допомогою ін’єкцій ферментів, які змушують рости амелогенін (білок зубної емалі). Через це почне відновлюватися сполучна тканина і коріння зуба. Спільно з цим м’які тканини обробляють емалевим матриксом, який призначений для того, щоб уповільнити розвиток хвороби. Незважаючи на те що чекати результату доведеться досить довго, але він того вартий і відновлені тканини будуть виглядати не гірше колишніх.

У разі, коли на зубі опустилася ясна, лікарі рекомендують саме ці способи вирішення проблеми. Посилити ефект від лікування, можна поєднуючи традиційну терапію з народними методами.

Народні способи лікування

За допомогою народних методів підняти ясна не можна. Але вони можуть усунути запалення і прискорити процес загоєння ран. Найбільш популярними є такі рецепти.

Настоянка кореня аїру і прополісу. Необхідно залити 10 г прополісу 0,5 л спирту, а потім залишити суміш на 2 тижні в темному місці. Потім потрібно розтовкти корінь аїру і провести з ним таку ж процедуру. Після того як обидві суміші настоятися, вони з’єднуються в співвідношенні 1 до 1. Такий настойкою потрібно полоскати рот не більше трьох разів на день.

Відвари різних трав. Використовуються ромашка, деревій, м’ята, меліса і інші рослини, які мають протизапальний ефект. На одну столову ложку подрібненого інгредієнта в сухому вигляді береться стакан води. Потім відвар кип’ятиться протягом 15-20 хвилин, і після того як він охолоне, полоскати рот потрібно після всіх прийомів їжі. Ліки від опущення ясен потрібно застосовувати регулярно.

Використання трав’яних настоїв благотворно вплине на стан тканин. Однак необхідно з точністю дотримуватися інструкції, щоб уникнути опущення ясен. І, звичайно ж, потрібно проходити огляд у стоматолога 2 рази на рік в профілактичних цілях, щоб відразу ж попереджати подібні патології.

засіб від опущення ясен

профілактика

З віком і в силу деяких інших причин опущення ясен повністю уникнути не вийде. Але цей процес можна в значній мірі загальмувати, якщо дотримуватися рекомендацій стоматолога і стежити за ротовою порожниною. Правильна гігієна ротової порожнини запобігає утворенню нальоту, що є основною причиною гінгівіту та інших захворювань ясен. Вона включає в себе: регулярну професійну чистку зубів у стоматолога, щоденний правильний догляд за зубами (чистка зубів два рази в день) і використання зубної нитки в домашніх умовах. Це допомагає позбутися від нальоту там, де зубна щітка не може допомогти. У профілактичних цілях лікарі радять приймати більше рідкої і м’якої їжі. Але в той же час не можна повністю виключати з раціону тверду їжу, оскільки це призводить до атрофированию тканин. Їжу необхідно ретельно пережовувати, це свого роду гімнастика для зубів, яка зміцнює альвеоли. Ще що робити при опущенні ясен?

профілактика захворювання

Щоб уникнути такої недуги, як рецесія ясен, потрібно виконувати ряд нескладних правил. Так, при наявності неправильного прикусу, його потрібно якомога скоріше виправляти. Це може викликати не тільки опущення ясен, але і безліч інших серйозних патологій.

Лікувати неправильний прикус можна за допомогою величезного ряду брекет-систем, з числа яких можна вибрати відповідні кожному пацієнту після відповідної консультації з ортодонтом.

Наступний крок – постійне дотримання гігієни порожнини рота. Необхідно чистити зуби два рази в день, при цьому щітка повинна бути м’яка. Не варто також забувати зчищати накопичився наліт з мови і щік.

Профілактика опущення ясен

Правильна і регулярна гігієна порожнини рота – обов’язкова умова, яке дозволяє знизити ймовірність стоматологічних захворювань.

Але, так як опущення ясен – стан, в яке можуть бути залучені не тільки ясна і зуби, профілактика повинна бути спрямована на зміцнення захисних сил і всього організму в цілому:

  • скоректуйте раціон на користь здорового збалансованого харчування, яке забезпечує організму всіма необхідними вітамінами і мікроелементами;
  • проводите систематичні гартують процедури;
  • відмовтеся від куріння і надмірного споживання алкоголю;
  • своєчасно лікуєте всі виявлені захворювання (не тільки стоматологічні);
  • регулярно відвідуйте стоматолога (не рідше 2-х разів на рік), і не ніякі ознаки неблагополуччя, навіть якщо вони вам здаються незначними.

Рецесія ясен являє собою патологію, при якій м’які тканини під впливом різних факторів опускаються вниз. В результаті оголюється шийка одного зуба або декількох (генералізована форма). Іноді це призводить до оголення коренів зубів. Що це таке, які ознаки підкажуть про виникнення патології, чому вона розвивається? До яких ускладнень призводять запущені форми опущення, що робити, чи можна лікувати захворювання будинку, в чому особливості терапії в період виношування дитини – про це поговоримо докладніше.

Як не допустити оголення шийки зуба

Профілактичні заходи проти опущення ясен досить прості:

  • необхідно дотримуватися гігієни порожнини рота, не допускати розвитку запальних процесів;
  • чистити зуби правильно – вертикальними або круговими рухами, але ні в якому разі не горизонтальними;
  • не користуватися занадто жорсткими зубними щітками;
  • уважно вибирати зубні протези, в разі потреби консультуватися з лікарем;
  • при наявності проблем з прикусом потрібно якомога швидше приступити до їх виправлення (зрозуміло, якщо ортодонтичне втручання не призведе до більш серйозних наслідків);
  • якщо є будь-які вроджені особливості, що підвищують ризик розвитку рецесії (наприклад, мала глибина передодня рота), необхідно вживати заходів щодо поліпшення кровообігу в яснах. Стимулювати кровообіг допоможуть масаж ясен, полоскання відварами трав (наприклад, шавлії) і профілактичне використання спеціальних стоматологічних паст.

Причини рецесії ясен – як вчасно розпізнати у себе опускання ясен?


Хоча зовсім недавно стоматологи констатували наявність рецесії ясен у осіб виключно похилого віку, в даний час захворювання помітно «молодшає» , і опущення ясен все частіше діагностують у молодих людей.
Корінь зуба має пухку кісткову структуру і не має стійкість до зовнішніх впливів різними середовищами, а тому він стає дуже вразливим до карієсу. Відповідно, чим раніше почати лікування при опущенні ясен – тим краще .

А для того, щоб отримати допомогу стоматолога і зупинити патологічний процес, необхідно вчасно розпізнати захворювання.

Необхідно зауважити, що якщо зуб з оголеним корінням став хворіти – значить, цей процес зайшов вже досить далеко.

Найперші ознаки опущення ясен можуть і не супроводжуватися больовими або іншими яскраво вираженими відчуттями:

  1. Під емаллю зуба у ясна можна побачити його корінь – він відрізняється за кольором від емалі і має чітку з нею кордон.
  2. Десни помітно «осіли», стали блідіше. При цьому зуби здаються як би довше, ніж раніше. І з часом цей процес не зупиняється – ясна все нижче.
  3. Стають помітними щілини між зубів біля коріння.
  4. Поступово зуби стають дуже чутливими до холодної \ гарячої їжі, і навіть просто до холодного повітря при диханні.
  5. При далеко зайшов патологічному процесі на коренях зубів утворюється карієс, вони чорніють, нерідко виникають клиновидні дефекти.

Види рецесії ясен:

  • Фізіологічна опущення ясен.

Це – найбільш поширений вид рецесії ясен. У переважній більшості страждають їм – люди похилого віку старше 60-ти років.

Стареча рецесія ясен, як правило, не призводить до виникнення карієсу, запальних процесів і патологічного розхитування, втрати зубів.

  • Травматична рецесія ясен.

Це можуть бути, як одноразові травми – наприклад, столовими приборами, дуже жорсткою їжею, ударами ясна, в результаті стоматологічних маніпуляцій і т.д., так і регулярне тривале мікротравмування – наприклад, невдало підібраній, занадто жорсткою зубною щіткою, надмірно інтенсивної чистки зубів зубочистками і зубними нитками.

До травматичного опущення ясен можуть призвести також шкідливі звички – насіння, клацання зубами горіхів, перекушування ниток, бруксизм (скрегіт зубами), відкривання різного виду кришок зубами. У групі ризику також люди, які дуже захоплюються жорсткої їжею – сухариками, кондитерськими виробами, посипаними цукровим піском.

Десна при травматичної рецесії може і не запалюватися, а коріння зубів оголюються незначно.

Травматична рецесія ясен може спостерігатися у людей різного віку.

  • Симптоматична рецесія ясен.

Захворювання може виникнути, як наслідки неправильного догляду за зубами і порожниною рота, вчасно не скоригований неправильний прикус, а також – захворювання гінгівіт і періодонтит.

Як правило, патологічний процес охоплює передні зуби нижньої щелепи. При цьому ясна запалюються і болять, можуть кровоточити, зуби поступово розхитуються, стають візуально довше, оголюючи коріння, і можуть випадати.

Види рецесії ясен за ступенем тяжкості патологічного процесу:

  1. Легка ступінь опущення – ясна оголює коріння не більше ніж на на 3 мм.
  2. Середній ступінь опущення – ясна оголює коріння не більше ніж на 5 мм.
  3. Важка ступінь опущення – ясна оголює коріння на 5 мм і більше.

лікування

ясна піднялася над зубом що робити

Зубні відкладення – одна з причин опущення ясен

Переймаючись питанням що робити, якщо піднялася ясна над зубом і як її опустити, варто відразу зазначити, що не можна в такому випадку займатися самолікуванням. Необхідно звернутися до стоматолога. Залежно від ступеня опущення, лікар підбере відповідне лікування.

Якщо причиною служила погана гігієна або рясні зубні камені, то досить просто очистити ротову порожнину і швидше за все, вогнище хвороби зникне разом з камінням. Але якщо хвороба вже не на початковій стадії, а прогресує, то видалення зубних каменів просто позбавить вас від запалення, але сама проблема залишиться.

Якщо причиною є пародонтоз, то стоматолог призначить необхідне лікування і проінструктує пацієнта про правильний догляд за порожниною рота.

При лікуванні опущення ясен лікар проведе очищення порожнини рота від зубного каменю, пломбування оголеною частини зуба і коригування встановленої пломби. Так само він призначить протизапальні препарати для зовнішнього і внутрішнього застосування. Голковколювання і точковий масаж теж є ефективними методами лікування при даній проблемі.

Електрофорез добре допомагає зупинити прогресування захворювання.

Якщо вчасно не розпочати терапії, прогресія хвороби призведе до втрати зуба. Таким чином, щоб позбавити пацієнта від пародонтозу, доктор може призвести або покриття оголених частин місцевими тканинами, або повне видалення зуба.

Інші методи

Десна опускаються (робити операцію може знадобитися при деяких аномаліях) і не завжди цей симптом вдається вирішити за допомогою призначених лікарем лікарських препаратів і народними засобами. Підхід в терапії повинен бути комплексним. У деяких випадках потрібне хірургічне втручання.

Наприклад, якщо причиною опущення ясен є аномалія прикусу, призначається ортодонтическая терапія. Щоб добитися позитивного результату, потрібне коригування положення зубів. У деяких випадках встановлюють штучну коронку і призначають носіння брекетів.

Десна опускаються.  Що робити, якщо оголюються зуби, з'явилися жовті плями, що це таке, як їх відновити, лікування, причини

Один з класичних способів лікування опускаються ясен – резорбіруемой мембрани.

Ця процедура проходить в 2 етапи:

  1. Спочатку встановлюється мембрана, що володіє високою жорсткістю, завдяки чому не доведеться проводити повторне втручання.
  2. Після певного часу мембрана видаляється.

можливі ускладнення

Гострий момент рецесії – негативний відбиток хвороби на зовнішніх рисах обличчя і на психіці. У тих, хто страждає на це захворювання, з’являються проблеми в спілкуванні, що в результаті призводить до зниження самооцінки і соціальної адаптації. Якщо вчасно не буде вжито заходів, спрямовані на лікування ясен, негативний прояв рецесії лише посилиться.

При відсутності належного лікування рецесія найчастіше призводить до наступних порушень:

  • підвищується чутливість зубів;
  • розвивається карієс коренів;
  • деформується зубний ряд;
  • з’являється набряк слизової оболонки;
  • утворюється пародонтальні кишені;
  • розвивається гіперемія, в результаті якої ясна наповнюються кров’ю і червоніють;
  • може з’явитися синюшність слизової;
  • можливий розхитує зуб і його подальше випадання.

Опущення ясен – це серйозна проблема, яка псує усмішку і ускладнює прийом їжі. Тому потрібно її діагностувати і усунути. Чим швидше робити заходи по усуненню рецесії, тим більше ефективними виявляться методи лікування.

Оформлення статті: Володимир Великий