6 причин появи екзостозів і 4 показання до їх оперативного лікування
Екзостоз – це хрящової наріст. З’явитися він може на будь-який кістки, в тому числі і на щелепної. Це утворення не відноситься до злоякісних і не становить серйозної загрози для здоров’я. Однак розростається екзостоз здатний травмувати зубні коріння, тому нерідко виникає необхідність в позбавленні від цього наросту. Екзостоз на яснах після видалення зуба
Екзостоз в стоматології, і що викликає його поява
Причин виникнення екзостоз може бути кілька:
- вроджені аномалії будови зубощелепної системи;
- генетична схильність;
- травми щелепних кісток;
- запальні процеси в ротовій порожнині, що супроводжуються абсцесом;
- загальний запальний процес в організмі;
- захворювання ендокринної системи;
- ускладнення після видалення зуба з альвеоли.
Симетричні хрящові нарости в області премолярів нерідко спостерігаються при адентії – частковій або повній відсутності зубів.
Найчастіше екзостоз виникає у вигляді ускладнення після видалення зуба. Краї зубної лунки після екстракції зуба не згладжуються, що призводить до утворення гострих шипоподібні кісткових виступів, в даній ситуації саме кісткових, утворених краями стінок альвеол.
Також патологічне розростання кісткової і хрящової тканини спостерігається при ушкодженнях кістки або окістя під час стоматологічних операцій.

Розростання кісткової і хрящової тканини спостерігається при ушкодженнях кістки або окістя під час стоматологічних операцій.
Причини і клінічна картина екзостозів

- Після видалення зубів , коли не проводиться згладжування альвеолярної кістки і країв лунки, а також при травматичної екстракції, коли утворюються кісткові виступи-шипи.
- Крім цього, при неправильній репозиції уламків зламаної щелепи теж утворюються остеофіти. Пошкоджені тканини починають зростатися, і виникає ускладнення: клітини хрящової тканини активно розростаються в довільному напрямку. Найчастіше це відбувається тоді, коли пацієнт не дотримується режим і рекомендації щодо забезпечення нерухомості щелеп після перелому.
- Причиною екзостозів може бути остеома . При її периферичної формі вирости утворюються по краю щелепи і походження їх в цьому випадку – диспластичне.
- Ще одна причина появи екзостозів – запущені запальні захворювання пародонту , що супроводжуються гнійним процесом.
- Неправильний ріст або нахил зубів при патологіях прикусу може викликати формування вузлових затвердінь.
- Патологія ендокринної системи призводить до гормонального дисбалансу, викликає порушення обмінних процесів, які відповідають за якісний склад кісткової тканини.
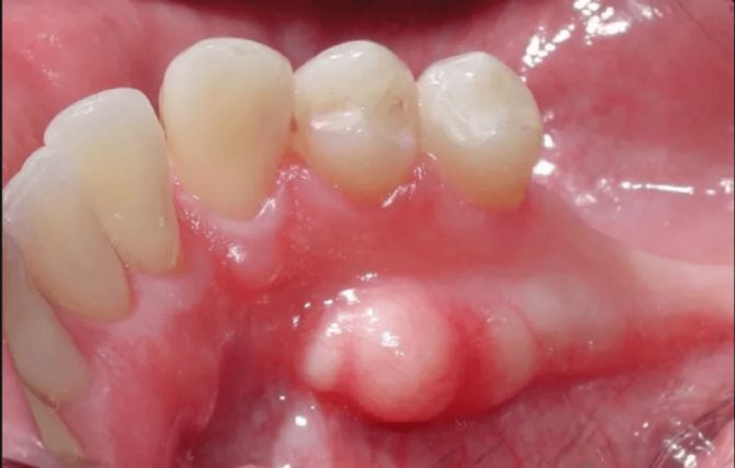
Зазвичай при невеликих розмірах остеофитов скарг у пацієнтів не буває. Їх виявляють при огляді та підготовці до протезування. Рот у пацієнтів з екзостозами відкривається вільно. Слизова оболонка над виростами не змінена, рухома.
При истончении слизової, яке спостерігається при збільшенні екзостозів, підвищується ризик її травмування ортопедичними конструкціями . При пальпації вирости відчуваються як щільні освіти з гладкою або горбистою поверхнею, що не спаянни з навколишніми тканинами.
При розташуванні остеофита в області скронево-нижньощелепного суглоба можуть бути больові відчуття, обмеження відкривання рота, порушення оклюзійних контактів. Підщелепні лімфовузли не пальпуються.
Однак зі збільшенням обсягу новоутворення воно починає доставляти дискомфорт. Наприклад, можуть з’явитися дефекти дикції, утруднюється прийом їжі.

Симптоми екзостоз на яснах
Формування наросту в більшості випадків проходить безсимптомно. Нарости невеликих розмірів можуть взагалі ніяк не проявляти себе і виявлятися випадково, наприклад, при рентгенівському обстеженні. Але іноді поява цього новоутворення може супроводжуватися характерними симптомами:
- зміна поверхні слизової оболонки – промацування на ній шишок і горбків;
- відчуття стороннього тіла в роті;
- біль різного характеру в області новоутворення;
- зміна кольору слизової оболонки;
- іноді – порушення рухливості нижньої щелепи;
- асиметрія особи з боку новоутворення.
Сам по собі такий наріст не становить загрози . Однак в процесі жування тонкий шар покриває його слизової оболонки поступово стирається про внутрішню поверхню губи або щоки. Новоутворена садно часто інфікується і стає осередком запалення, яке може привести до абсцесу або флегмони.
ПРИЧИНИ ВИНИКНЕННЯ

Найчастіше причиною формування екзостоз є спадковість. У цьому випадку ділянки незначного розростання кістки або хряща спостерігаються вже в дитячому віці.
При відсутності росту і заподіюваної дискомфорту фахівець рекомендує регулярний контроль без хірургічного втручання.
Крім генетичного фактора, екзостоз може бути викликаний наступними причинами:
- травмування щелепних рядів, їх переломи, викликають відкол фрагментів кісткової тканини з подальшим неправильним зрощенням;
- інфекційні запальні процеси, в результаті протікання яких кісткова тканина атрофується і руйнується;
- патологічне будова щелепних рядів, внаслідок чого формується викривлення кісткової тканини і відбувається утворення наростів;
- гормональні порушення, через які змінюється якісний склад кістки, викликаючи її руйнування і схильність формуванню наростів.
Стоматологи також відзначають, що дуже часто розвиток екзостоз є наслідком складної екстракції зуба.
Причиною розростання кісткової тканини в цій ситуації є відсутність природного згладжування країв лунки, неправильне зрощення кісткової тканини або надмірне травмування окістя при проведенні процедури.
діагностика
Діагностувати екзостоз, особливо на ранній стадії, дуже важко – як уже було сказано раніше, початок захворювання проходить практично без симптомів. Виявити наявність новоутворення можна тільки за допомогою рентгенографії, яка призначається лікарем на підставі скарг пацієнта і збору анамнезу.
Необхідно відзначити, що хрящова тканина для рентгенівських променів прозора, і побачити можна лише кістковий «стрижень». Відповідно, в реальності наріст буде значно більших розмірів, ніж на знімку.
Також проводиться диференціальна діагностика екзостоз із злоякісною пухлиною і кістою.

Рентген зубів.
характерні симптоми
Екзостоз у дорослого утворюється не тільки в порожнині рота, нарости виникають і на стопах, кистях і ключиці. Лише кістки черепа не схильні до цього захворювання. У людини можуть з’явитися відразу кілька наростів, їх форми і розміри можуть разюче відрізнятися. Іноді новоутворення більше схоже на шип, нерідко воно має форму гриба з вузьким підставою і широкою поверхнею.
Клінічна картина багато в чому залежить від місця розташування наросту, його форми і розмірів. Деякі пацієнти з працею виявляють невеликі новоутворення у себе в роті, часто вони дізнаються про проблему лише після отримання рентгенівських знімків. Іноді остеофіт набуває величезні розміри, його форма може нагадувати круглий апельсин.
На початковій стадії захворювання протікає безсимптомно. На цьому етапі діагностувати хворобу можна тільки в умовах клініки. Стоматолог визначить локалізацію наросту і встановить причину його появи.
У міру прогресування хвороби симптоматика набуває більш виражений характер:
- На яснах утворюється піднесення. Воно вкрите слизистою оболонкою.
- Новоутворення поступово збільшується в розмірах. Якщо невеликий наріст не доставляв дискомфорту, то наявність великої шишки в роті заважає правильному розташуванню мови. Пацієнт постійно відчуває відчуття присутності стороннього предмета в ротовій порожнині.
- Пацієнт починає відчувати біль (різної інтенсивності).
- Слизові, що покривають виріст, змінюють колір – стають яскраво-рожевими.
- Виникає оклюзія. Рух крові по капілярах і судинах в ураженій області сповільнюється.
- Спостерігається часткова дисфункція нижньої щелепи.
Відмінність екзостоз щелепи від запальних захворювань полягає у відсутності свербіння, печіння і підвищеної температури тіла. Формування кісткового наросту – це скоріше не захворювання, а патологічний процес, який вимагає постійного контролю.
Уудаленіе екзостоз в стоматології
Лікування екзостоз можливо тільки хірургічним шляхом. Якщо освіта невелике і не турбує пацієнта, то лікування необов’язково. Однак деякі ситуації є показаннями до видалення екзостоз:
- швидкий ріст кісткової тканини і великі розміри новоутворення;
- тиск на сусідні зуби;
- косметичний дефект;
- необхідність установки імплантів або протезів – нарости перешкоджають їх правильному встановленні.
Однозначним показанням до видалення є розташування наросту на хрящової тканини скронево-нижньощелепного суглоба. Екзостоз на суглобі сильно обмежує його рухливість, перешкоджає нормальному руху щелепи і відкриванню рота, а також викликає сильні болі. При такій локалізації екзостоз підлягає негайному видаленню .
Видалення наросту здійснюється за наступною схемою:
- спочатку знеболюючі навколишні м’які тканини;
- потім проводиться надріз тканини ясен, і край слизової оболонки піднімається, щоб дати доступ до кістки;
- підставу наросту зрізається за допомогою бормашини або лазера;
- поверхню кісткової тканини шліфується і згладжується, клапоть слизової оболонки повертається на місце;
- на краю розрізів накладаються шви; для полегшення загоєння також може бути накладена аплікація з антисептичної маззю – Солкосерил або Левомеколь.
лікування екзостозів
Екзостоз в стоматології лікують тільки хірургічним шляхом.
Основними показаннями до операції є:
- швидке зростання екзостоз;
- дискомфорт і незручність при прийомі їжі і розмові;
- виражений косметичний дефект і великий розмір остеофита;
- утруднення проведення ортопедичного лікування.
Проводять видалення виросту єдиним блоком, після висічення слизової оболонки і відшаровування слизисто-окісного клаптя. Далі альвеолярний відросток згладжують фрезою або гострим бором. Закінчується операція накладенням швів. Іноді при операції буває необхідно усунути дефіцит кісткової тканини, що утворюється при видаленні значних наростів, тоді використовують остеопластіческіе матеріали і мембрани.
Прогноз при екзостозах сприятливий. Після видалення остеофитов відбувається загоєння і відновлення кісткової тканини, яке дозволяє оптимально запротезіровать пацієнта. Екзостоз вкрай рідко перероджуються в злоякісні пухлини.

Але якщо їх не видаляти, то остеофіти можуть почати тиск на зуби, що призведе до їх зміщення і зміни прикусу. Тому екзостоз треба вчасно оперувати.
Існує ряд протипоказань до операції:
- цукровий діабет в стадії декомпенсації;
- погана згортання крові;
- патологія надниркових залоз;
- захворювання щитовидної залози в стадії декомпенсації.
При приведенні показників крові в норму видалення екзостозів проводять в плановому порядку.
Від гарної підготовки до операції буде залежати успіх лікування. Після первинної консультації, пацієнта направлять на рентгенологічне дослідження. Це потрібно для точної постановки діагнозу. На знімку визначається розмір екзостоз, його форма і вогнище локалізації.
Крім того, обов’язково зробити аналіз крові на згортання, цукор та інші патології, які можуть стати протипоказанням. У деяких випадках може знадобитися консультація вузьких фахівців.
реабілітаційний період
Період відновлення після видалення екзостоз займає від 4 до 7 днів . Для прискорення реабілітації та профілактики можливих ускладнень рекомендується дотримуватися деяких правил:
- на період відновлення обмежити вживання як дуже холодною, так і занадто гарячої їжі, щоб не спровокувати розходження швів;
- також не рекомендується вживати тверді і в’язкі продукти – це також може привести до розбіжності швів;
- рекомендується обмежити фізичну активність;
- для прискорення регенерації тканин вкрай важливо добре висипатися і дотримуватися режиму сну;
- щоб уникнути інфікування шва необхідно ретельно дотримуватися гігієни порожнини рота; особливо рекомендуються полоскання антисептичними розчинами, такими, як Хлоргексидин або Ротокан.
Після операції можуть виникнути набряки і несильні болі. Це нормальне явище, часто виникає після хірургічних операцій на зубах і яснах. У цих ситуаціях рекомендується приймати знеболюючі (найкраще – нестероїдні протизапальні препарати, такі, як Ібупрофен) і Протинабрякові препарати.

хлоргексидин
Як доглядати за яснами після операції
Після видалення екзостоз слід з особливою уважністю поставитися до реабілітації. Догляд за яснами проводиться в домашніх умовах і включає:
- Ополіскування порожнини рота антисептичними розчинами (мірамістин, фурацилін, хлоргексидин, ротокан).
- Накладення аплікацій лікарськими препаратами на місце шва (солкосерил, метрогил дента, холісал).
- Ухвалення антибіотиків (тетрациклін, олететрин, доксициклін)
- Правильний догляд за ротовою порожниною (чистка зубів 2 рази в день стандартним методом, використання профілактичних ополаскивателей і зубної нитки).
Холісал
Крім основного догляду, для швидкого загоєння рани слід дотримуватися таких правил:
- Вживати їжу м’якої або рідкої консистенції кімнатної температури.
- Відмовитися від шкідливих звичок (куріння, вживання алкогольних напоїв).
- Відмовитися від активного фізичного навантаження на час реабілітації.
- Берегти свій організм від перегріву (відмовитися від гарячих ванн, уникати прямого впливу УФ променів).
При самостійному виявленні чужорідного тіла на яснах необхідно негайно звернутися до стоматолога. На стоматологічному прийомі доктор огляне новоутворення і на підставі діагностичних досліджень поставить точний діагноз і складе план лікування.

Екзостоз нижньої щелепи
Відкладання походу до лікаря на довгий час або самостійна постановка діагнозу посилить перебіг патології і призведе до утворення серйозних ускладнень. Щоб уникнути ускладнень в післяопераційному періоді слід дотримуватися перераховані вище рекомендації і ретельно доглядати за порожниною рота.
профілактика
Спеціальних профілактичних заходів щодо запобігання екзостоз не існує – розвиток цього захворювання практично не залежить від дій самої людини. Однак можна знизити ризик його виникнення, регулярно відвідуючи стоматолога і проходячи профілактичний огляд.
Лікар допоможе визначити «проблемні місця» на щелепи і прогнозувати ймовірність розвитку новоутворення. Також необхідно своєчасно лікувати запалення в порожнині рота, не даючи їм перейти в гнійну фазу і проникнути в кістку. При механічних пошкодженнях щелепи необхідно ретельне обстеження на наявність тріщин, над якими може «нарости» кісткове утворення на яснах.
Чому після видалення зуба з’являється екзостоз?
На сьогоднішній день точні причини виникнення екзостоз ясна вченим встановити не вдалося. До факторів розвитку захворювання відносять:
- травми, отримані в результаті механічної дії, наприклад, після неякісно проведеної операції з видалення зуба;
- запальні процеси;
- спадковість;
- ендокринні порушення.
Новоутворення починає формуватися в результаті надмірного зростання тканин. Зазвичай цей процес запускається після хірургічного втручання, появи тріщини чи перелому.
Найпоширенішою причинного формування екзостоз є видалення зуба. Якщо під час операції хірургом буде порушена методика екстракції зуба, тканини пародонту можуть зміститися або деформуватися. Помилка лікаря призводить до утворення виступу на щелепи.
Після неякісно проведеної операції пацієнти починають відчувати у себе в роті новоутворення. Його легко виявити, якщо провести язиком уздовж пошкодженої ділянки слизової.
Іноді виступ після видалення зуба з’являється не з вини лікаря, а внаслідок гіперкальціємії. Надлишок кальцію в організмі призводить до його осідання на кістках. Цей мінерал у великій кількості міститься в молочних продуктах, яйцях і жорсткій воді.
Етапи видалення кісткового наросту
Постановка діагнозу екзостоз щелепи базується на підставі скарг пацієнта, даних анамнезу, результатів фізикального обстеження, рентгенографії. При огляді лікар-стоматолог на альвеолярному відростку або в ділянці тіла щелепи виявляє безболісне утворення щільної консистенції, не спаяні з оточуючими м’якими тканинами. Слизова оболонка над Екзостоз щелепи истонченная. Пошкодження її гострими краями зруйнованих зубів або базисом протеза призводить до появи ділянок виразок. При Екзостоз щелепи на рентгенограмі визначають кістковий виступ з чіткими кордонами. Деструктивні зміни в кістки відсутні. Диференціюють екзостоз щелепи з доброякісними і злоякісними пухлинами кісткової тканини. Обстеження проводить хірург-стоматолог.
Лікування екзостоз щелепи хірургічне. При висічення піднебінного торуса виробляють серединний лінійний розріз з послаблювальними надрізами спереду і ззаду, отслаивают слизисто-окісний клапоть, екзостоз щелепи видаляють єдиним блоком або розпилюють, а потім витягають за фрагментами. Іноді остеофіти в стоматології зрізають бором або фрезою. Після видалення піднебінного виступу проводять ревізію кісткової рани, згладжують краю. Слизисто-надкостнічний клапоть поміщають на місце. Оперативне втручання закінчується накладанням вузлових швів. Для запобігання розвитку гематоми на небо ставлять йодоформну пов’язку, яку додатково фіксують шовковими швами.
При розташуванні екзостозів на альвеолярному відростку виробляють трапецієподібний розріз. Після мобілізації слизисто-окісного клаптя спилюють екзостоз щелепи, згладжують поверхню, укладають на місце раніше отсепарирован клапоть. Краї рани вшивають вузловими швами. При невеликих екзостозах і наявному дефіциті кістки поднадкостнично формують тунель, куди вводять гідроксиапатит. За рахунок біоматеріалу відновлюють потрібну товщину альвеолярної частини. Рану на слизовій оболонці зашивають, накладають пов’язку. Прогноз при Екзостоз щелепи сприятливий. Після усунення етіологічних чинників, хірургічного видалення остеофитов створюються сприятливі умови для подальшого протезування.
Деякі захворювання ротової порожнини не дають болі, тому пацієнти вважають їх нешкідливими і не поспішають до лікаря. Невеликий твердий наріст на яснах зустрічається після запалень або нагноений, утворюється абсолютно безсимптомно. Але він дає постійний дискомфорт при жуванні або розмові у дорослих, здатний порушити нормальний розвиток прикусу у дітей. Тому лікар повинен обстежити виступ і вирішити, як лікувати або видаляти його в подальшому.
Поява біля зуба окремої кісткової перегородки – досить часте явище в стоматологічній практиці. Більш точну назву патології – «екзостоз», що в перекладі означає «кістка, розташована зовні». Це не стільки захворювання, скільки патологічний процес, що вимагає контролю за розвитком. Він вважається доброякісним і не здатний привести до серйозних злоякісних пухлин щелепи.
Екзостоз є кістковий виступ на яснах, який виходить у підстави зубів. Він може з’явитися зовні на будь-якій ділянці. Нерідко круглі або гострі шишечки виявляються на небі або відчуваються прямо під язиком. Зазвичай хворобливі симптоми відсутні і людина абсолютно випадково намацує їх зубною щіткою або пальцем. Характерні ознаки розвитку в роті такого кісткового шипа:
- горбок або дуже тверда шишка і не продавлюється при натисканні;
- поступово мови не вистачає вільного місця для маневру при вимові деяких звуків, змінюється мова людини;
- внутрішня сторона щоки натирається про шип, може з’явитися невелика ерозія;
- всередині щелепи спостерігається ниючий біль.
На відміну від багатьох запальних захворювань ротової порожнини при Екзостоз не спостерігається підвищення температури, свербіння або паління. У переважній більшості випадків пацієнти дізнаються про проблему після проведення обстеження на рентген-апараті перед установкою імплантата або протеза. На знімку лікар зауважує білуваті новоутворення біля коренів зубів, які нагадують гнійні вогнища.
Кістковий шип в ротовій порожнині може виростати з хрящової тканини або зачіпати основу щелепи. У першому випадку основою новоутворення стають дрібні пластинки в коренях зубів, які відокремлюють їх від гайморової пазухи. У другому розростання відбувається з клітин окістя – щільного шару, закладеного під слизової. Зовні вони будуть виглядати зовсім однаково.
При виявленні в роті твердого або гострого шипа не варто панікувати: за оцінкою дантистів ці обидві патології входить в число найпоширеніших за кількістю звернень. Вона формується через різних негативних факторів:
- вроджені дефекти розвитку і патології прикусу;
- генетичні хвороби, при яких порушується зростання кісткової тканини в організмі;
- неправильне харчування, дієти, позбавляють людину важливих мікроелементів і мінералів;
- сильні травми щелепи або переломи основи;
- розлад гормонального фону;
- вірусні захворювання, герпес.
При таких ускладненнях найчастіше в роті виникає кілька наростів, розташованих симетрично один одному. Нерідко вони виходять поруч і нагадують лінію з горбків, займають простір під язиком або біля внутрішньої поверхні щоки. З боку можна помітити деякий перекіс або округлість під шкірою на обличчі.
Часто проростає кістковий шип після видалення зуба. Зазвичай на місці моляра залишається невелика лунка і досвідчений стоматолог намагається притиснути її з країв для зменшення просвіту. Якщо цього не зробити і порушити методику, може виникнути невелика деформація і зміщення тканин пародонта. Такі зміни і провокують утворення твердого наросту в роті. Пацієнти часто помічають його при полосканні рани або випадково торкаються мовою, автоматично обмацуючи пошкоджену ділянку.
Незважаючи на доведену доброякісність кісткового виступу, він може спровокувати цілий ряд серйозних для пацієнта ускладнень:
- У людини порушується вимова деяких звуків, з’являється невиразна мова або присвистування. Діти з такою патологією погано встигають в школі і соромляться свого недоліку.
- Деякі види остеофитов, які ростуть з кістки, можуть постійно розростатися. Зафіксовані випадки наросту завбільшки з куряче яйце або яблуко.
- При проростанні всередину шип заважає ретельно пережовувати їжу, може виникнути нерухомість суглоба.
- Наріст не дасть правильно встановити протез і незмінно призведе до руйнування пломб на зубах.
- Якщо новоутворення пройшло через хрящові пластини вгорі, людина стикається з частими риніти і гайморитом.
У половині випадків щільне утворення може саме розсмоктатися навіть без спеціального лікування або видалення. Лікарі припускають, що це відбувається після усунення проблем з харчуванням, вживання вітамінних комплексів. Вони заповнюють недолік мінеральних речовин і допомагають налагодити сольовий обмін в організмі.
В інших ситуаціях видалити твердий наріст на яснах можна тільки шляхом невеликої хірургічної операції. Її проводить стоматолог-ортодонт під місцевим наркозом. Вона складається з кількох етапів:
- Ротова порожнина ретельно знезаражується спеціальним антисептиком, щоб в рану не були небезпечні мікроорганізми.
- На яснах робиться мініатюрний надріз.
- Підстава шипа перекушується стоматологічним інструментом або відсікається лазером.
- За допомогою насадки на бормашину лікар акуратно шліфує кістка, щоб згладити всі гострі кути.
- Накладаються шви і Ранозаживляющая мазь.
Решта лікування проводиться в домашніх умовах під наглядом фахівця. Кожен день до повного затягування ранки необхідно полоскати рот будь-яким антисептиком: Мірамістином, хлоргексидину або розчином соди. На розріз накладають аплікацію з маззю Солкосерил або Левомеколь. Щоб шви не розійшлися, перші два тижні пацієнт повинен харчуватися полупротертой їжею, бульйону і супами.
Поява в ротовій порожнині новоутворень різного походження не рідкість. Кісти, Ранул, ліпоми часто вражають слизові оболонки і м’які тканини.
Існує ще один різновид доброякісних наростів – екзостоз. Що ж собою являє така патологія? Чому виникає, а головне, як правильно і ефективно від неї позбутися?
Причин виникнення екзостоз кілька:
- генетична схильність (найчастіша причина, іноді патологія буває вже вродженої);
- травми і переломи щелепних кісток;
- великі запущені запальні процеси в ротовій порожнині, що супроводжуються нагноєнням і абсцесом;
- захворювання, що провокують запалення у всьому організмі (сифіліс);
- вроджені чи набуті аномалії в будові щелепної системи;
- захворювання ендокринної системи (рідкісна причина);
- видалення зуба із застосуванням Альвеолотомія.
Не дивлячись на те, що патологію відносять до генетичних хвороб, вона може розвиватися у дорослої людини після видалення зуба, особливо, коли маніпуляція супроводжувалася хірургічним втручанням. Розвиток екзостоз свідчить про те, що процедура була проведена неправильно або супроводжувалася ускладненнями.
У даній ситуації розростання кісткової або хрящової тканини щелепи з’являється з наступних причин:
- під час процедури була травмована або зруйновано значну область кістки або окістя;
- в період відновлення і загоєння кістки зрослися неправильно;
- відсутність етапу згладжування країв лунки після хірургічного втручання.

Раніше зазначалося, що на початкових стадіях захворювання протікає практично безсимптомно, тому діагностується на прийомі у стоматолога. Проте патологічне розростання кісток супроводжується рядом симптомів і ознак, які змінюються в залежності від місця положення горбків.
Основні симптоми хвороби:
- освіту шишки або наросту незрозумілого походження (поверхню слизової при цьому може бути гладкою або шиповидного);
- відчуття стороннього тіла в роті, ніби мови не вистачає місця;
- періодична або постійна біль різного характеру;
- порушення рухливості нижньої щелепи (коли остеофіти торкнулися суглобовий відросток);
- зміна кольору слизової оболонки;
- поява оклюзії (непрохідності кровоносних судин).
- швидке зростання або великі розміри,
- больові відчуття в сусідніх зубах,
- виражений косметичний дефект (коли наріст утворюється на зовнішній стороні щелепи),
- небезпека зміни прикусу, особливо у дитини (через тиск екзостоз на сусідні зуби),
- підготовка пацієнта до носіння ортопедичних або ортодонтичних конструкцій.
Дрібні нарости на яснах складно побачити неозброєним оком, проте пацієнт іноді відчуває екзостоз в формі маленької шишки в порожнині рота. Позбутися від даної патології можна за допомогою хірургічного втручання.
Як правило, видалення наростів на яснах включає в себе ряд етапів:
- Етап 1.
знеболювання ділянки навколо кісткового освіти; - Етап 2.
надріз тканини ясен; - Етап 3.
спилювання наросту, згладжування із застосуванням спеціальних інструментів; - Етап 4.
накладення швів на слизову.
Тривалість операції – в середньому 2 години. Від розміру освіти, місця його розташування, складності патології залежить тривалість процедури. Після екстіпараціі накладаються шви, в деяких випадках – давить. Ціна процедури залежить від ряду показників, особливостей її проведення.
Після лікування, операції, пацієнт проходить реабілітаційний період. Приблизно він триває 7 днів. Однак при ослабленій імунній системі, наявності в порожнині рота патогенних мікроорганізмів, даний період розтягується на місяць.
Головна умова в післяопераційний період – обережність. Не можна допускати розходження швів, тому є потрібно тільки теплу і м’яку їжу потрібно підтримувати температурний режим при вживанні напоїв, відмовитися від шкідливих звичок.
Підготовка і проведення операції
Підготовчий етап – важлива частина лікування перед майбутнім втручанням. Від неї багато в чому залежить успіх процедури.
Перше, що необхідно буде зробити пацієнтові після консультації у лікаря, це рентгенівський знімок. Він дасть більш точне поняття про аномалії, її розмірах і точне місцезнаходження. Також, бажано здати деякі аналізи на захворювання, які є протипоказанням до операції (див. Вище).
Процедура проведення втручання включає в себе кілька послідовних етапів:
- Знеболення. У випадках, коли не є ускладнення, операція проводиться при місцевому знеболюванні. Важливий момент – перед цим потрібно обов’язково дізнатися у пацієнта наявність алергічних реакцій на лікарські препарати.
- Стерилізація порожнини рота. Обробка спеціальним антисептичним розчином, дозволяє наблизити умови роботи у роті до стерильним. Так, ризик інфікування тканин зводиться до мінімуму.
- Розсічення м’яких тканин. Хірург, використовуючи стерильний гострий скальпель, проводить надріз ясна, звільняючи зону ураження.
- Видалення шишки. Може проводитися декількома методами. Сучасні технології дозволяють використовувати для цього лазерну терапію. Стандартні методи передбачають використання інструменту – долота.
- Згладжування країв. Решта кісткові структури шліфуються до утворення гладкої поверхні. Проводиться це для профілактики травм м’яких тканин і запобігання рецидиву. При проведенні процедури потрібно водяне охолодження.
- Останнім етапом є накладення швів і стерильної пов’язки.

Вся операція в сукупності триває близько 2 годин. Це при використанні стандартних технологій, при роботі з долотом. Застосовуючи лазерні методи, можна вкластися в 50-60 хвилин.

